Full Mouth Rehabilitation In Lucknow

  • Highly trained and experienced Professional doctors
  • Advanced equipment and materials
  • Every year professional monitoring

Full mouth Rehabilitation

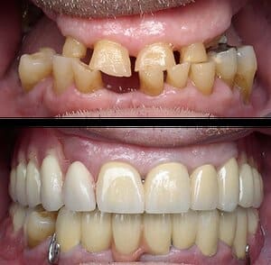
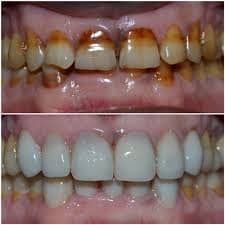
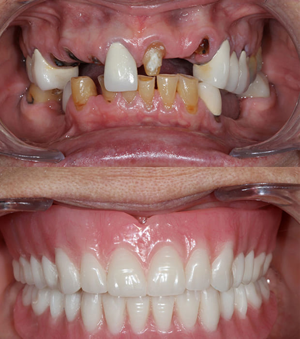
The personality of an individual is often judged by looks.- Full mouth rehabilitation is individual recreation of each tooth in mouth. Here dentist reshape & rebuild ones teeth, gums & surrounding areas.

Indications:

  • Broken/worn teeth with unexplained pain in the joint
  • Headache, recurring back pain, neck pain
  • Clicking /popping of jaw
  • Tempero-mandibullar-Joint(TMJ) pain
  • Limited jaw movement /having lock jaw

Quality Full mouth rehabilitation may include

  • Dental bridges
  • Dental crowns
  • Inlays or onlays
  • Porcelain veneers
  • Fillings
  • Implants
  • Prophylactic cleaning
  • Crown lengthening

Full Mouth Rehabilitation Benefits

Benefits of Full Mouth Rehabilitation Include

  • Restores impaired occlusal function
  • Preserves logetivity of remaining teeth
  • Maintain healthy periodontium
  • Improves objectionable esthetics
  • Eliminates pain and discomfort of teeth and surrounding tissues

With full mouth rehabilitation you need not compromise with natural worn teeth in your mouth & you can eat hot & cold foods with out any headache or soreness of jaw.